Storie di Successo: Trasformazioni con Faccette Dentali a Palermo
Scopri le Storie di Successo
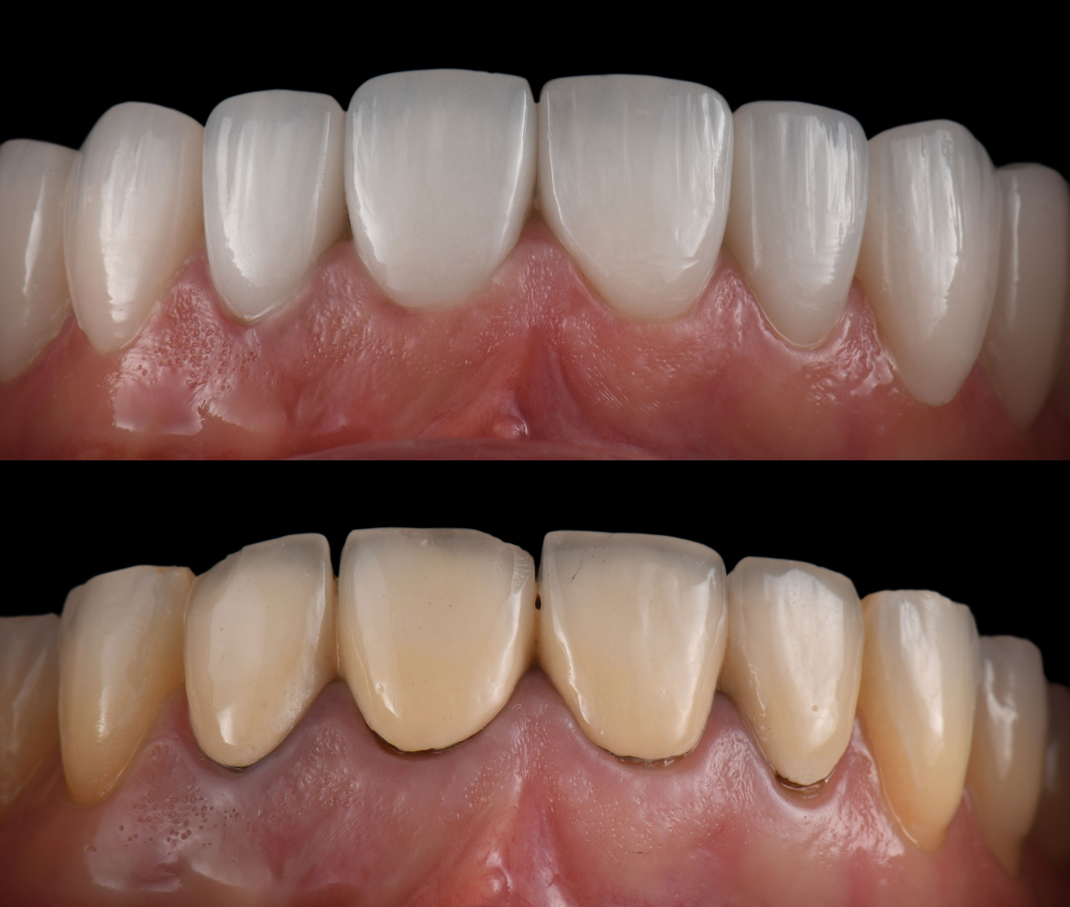
Le faccette dentali stanno trasformando i sorrisi e la vita delle persone a Palermo, offrendo risultati straordinari e storie di successo che meritano di essere raccontate. Queste sottili coperture in ceramica o porcellana, applicate sulla parte anteriore dei denti, sono una soluzione estetica ideale per chi desidera migliorare il proprio sorriso.
Le faccette dentali possono correggere una vasta gamma di problemi dentali, tra cui denti scoloriti, scheggiati o storti. A Palermo, sempre più persone si affidano a questa tecnica per ottenere il sorriso dei loro sogni, con risultati che parlano da soli.

Le Trasformazioni Più Impattanti
Una delle trasformazioni più impressionanti è quella di Chiara, una giovane professionista che ha sempre avuto insicurezze riguardo ai suoi denti. Dopo aver applicato le faccette, Chiara ha sperimentato un aumento della fiducia in se stessa che ha avuto un impatto positivo sia nella sua vita personale che professionale.
Un'altra storia di successo è quella di Marco, un uomo d'affari che ha scelto le faccette dentali per migliorare la sua immagine pubblica. Il suo nuovo sorriso luminoso ha contribuito a migliorare le sue relazioni professionali e sociali, sottolineando l'importanza di un sorriso curato.

Perché Scegliere le Faccette Dentali
Le faccette dentali offrono numerosi vantaggi che le rendono una scelta popolare. Ecco alcuni motivi per cui sempre più persone a Palermo optano per questo trattamento:
- Estetica Migliorata: Le faccette offrono un aspetto naturale e luminoso.
- Durata: Con la giusta cura, possono durare molti anni.
- Resistenza alle macchie: Sono meno soggette a macchiarsi rispetto ai denti naturali.
Questi vantaggi, uniti alla possibilità di personalizzare il trattamento secondo le esigenze individuali, rendono le faccette una soluzione ideale per molti.

Il Processo di Applicazione
Il processo di applicazione delle faccette dentali è semplice e relativamente veloce. Di solito si svolge in tre passaggi principali:
- Consultazione: Una discussione iniziale con il dentista per valutare le esigenze e le aspettative.
- Preparazione: I denti vengono preparati e viene presa un'impronta.
- Applicazione: Le faccette vengono applicate e cementate sui denti.
Ogni passaggio è fondamentale per garantire un risultato perfetto e duraturo.
Il Futuro del Tuo Sorriso
Se stai considerando di migliorare il tuo sorriso con le faccette dentali a Palermo, sei in buona compagnia. Sempre più persone scelgono questa opzione per ottenere il sorriso che hanno sempre desiderato. Le storie di Chiara e Marco sono solo due esempi di come le faccette possano trasformare non solo l'aspetto, ma anche la vita delle persone.
Non importa quali siano le tue esigenze, i professionisti a Palermo sono pronti ad aiutarti a raggiungere i tuoi obiettivi estetici e migliorare la tua fiducia in te stesso. Un nuovo sorriso potrebbe essere solo a pochi passi di distanza.
